Patientez SVP...

Les cellules du sang.

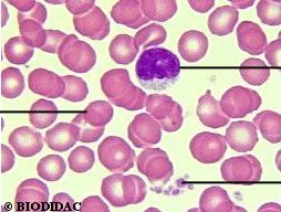
Complète le schéma en faisant glisser les légendes.
Pour cela clique sur une légende, puis, sans relâcher le bouton de la souris, fais glisser le mot jusque sur le schéma.
Les légendes doivent être placées au bout des traits. Un message apparaît lorsque toutes les légendes sont à la bonne place.



Leucocyte
Plaquettes sanguines
Hématie